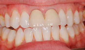
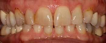
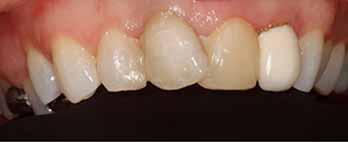
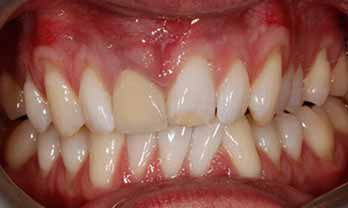
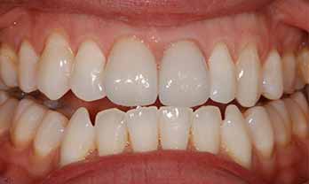
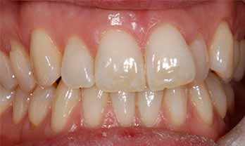
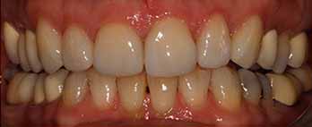
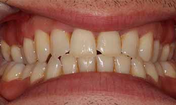
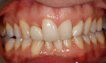
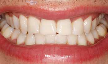
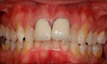
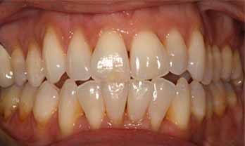
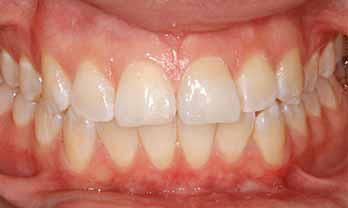
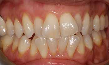
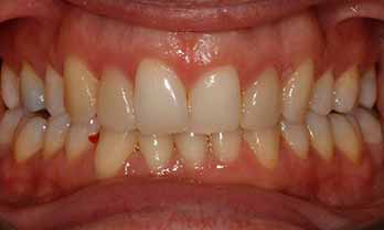
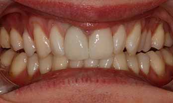
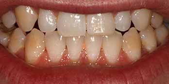
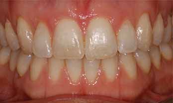
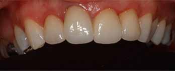
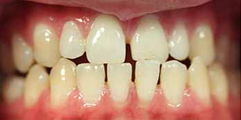
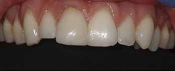
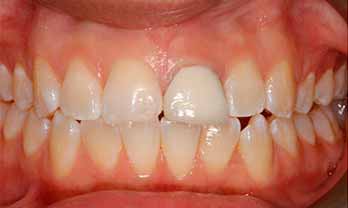
Smile Gallery

Explore Our Before After Transformations

Book Online

The Dental Clinic Portishead

Explore Our Before Afters Cases

All cases featured on this site have been completed by clinicians who have worked on patients at a clinic that is part of the Queen Square Dental Group. The list of clinics can be found here.

Book Consultation

Ready to Smile? Make an Enquiry Today

Fill in the form and our friendly team will be in touch with you momentarily

Trusted by patients in Portishead

I receive the finest dental healthcare at The Dental Clinic Portishead. The staff are friendly and helpful, the premises are spotless and welcoming, I… Read More

Simon Davis

I was quite nervous going in but the staff instantly made feel more at ease. Great help and advice from the dentist.

Anya Norton-Ashley

Very easy and friendly checkup. Also thorough with x Ray's taken and the results clearly explained. Thanks.

paul reid

I’ve been visiting this dental practice for a few years now, and as someone who usually dreads dental visits, I truly appreciate Simon’s ability to … Read More

Amy Katrianne

I don’t usually leave reviews, but I had such a positive experience that I felt it was worth sharing. I needed some dental work done, including 4 fi… Read More

Regan
Call Now Book Now